Humans have been fighting against viruses since before our species had even evolved into its modern form. For some viral diseases, vaccines and antiviral drugs have allowed us to keep infections from spreading widely, and have helped sick people recover. For one disease — smallpox — we've been able to eradicate it, ridding the world of new cases.
But we're a long way from winning the battling with viruses. In recent decades, several viruses have jumped from animals to humans and triggered sizable outbreaks, claiming thousands of lives. The viral strain that drove the 2014-2016 Ebola outbreak in West Africa kills up to 90% of the people it infects, making it the most lethal member of the Ebola family.
But there are other viruses out there that are equally deadly, and some that are even deadlier. Some viruses, including the novel coronavirus currently driving outbreaks around the globe, have lower fatality rates, but still pose a serious threat to public health as we don't yet have the means to combat them.
Here are the 12 worst killers, based on the likelihood that a person will die if they are infected with one of them, the sheer numbers of people they have killed, and whether they represent a growing threat.
1) Novel CORONA Virus or COVID-19
But now CORONA or COVID-19 is the most dangerous Virus in the world rest of them Which is shown every countries peoples death of the world.World's people did not think that they will be helpless by the CORONA Virus or COVID-19 attacked.
The novel coronavirus—officially called COVID-19—is bad news. It was officially identified as a new virus only about a month ago, but it has already infected 9,820,485 people and killed 494,222 worldwide (as of this writing).
Coronaviruses (CoV) are a large family of viruses that cause illness ranging from the common cold to more severe diseases such as Middle East Respiratory Syndrome (MERS-CoV) and Severe Acute Respiratory Syndrome (SARS-CoV).
Coronavirus disease (COVID-19) is a new strain that was discovered in 2019 and has not been previously identified in humans.
Coronaviruses are zoonotic, meaning they are transmitted between animals and people. Detailed investigations found that SARS-CoV was transmitted from civet cats to humans and MERS-CoV from dromedary camels to humans. Several known coronaviruses are circulating in animals that have not yet infected humans.
Common signs of infection include respiratory symptoms, fever, cough, shortness of breath and breathing difficulties. In more severe cases, infection can cause pneumonia, severe acute respiratory syndrome, kidney failure and even death.
Standard recommendations to prevent infection spread include regular hand washing, covering mouth and nose when coughing and sneezing, thoroughly cooking meat and eggs. Avoid close contact with anyone showing symptoms of respiratory illness such as coughing and sneezing.
2) Marburg virus
The most dangerous virus is the Marburg virus. It is named after a small and idyllic town on the river Lahn - but that has nothing to do with the disease itself. The Marburg virus is a hemorrhagic fever virus. As with Ebola, the Marburg virus causes convulsions and bleeding of mucous membranes, skin and organs. It has a fatality rate of 90 percent.
3) Ebola virus
There are five strains of the Ebola virus, each named after countries and regions in Africa: Zaire, Sudan, Tai Forest, Bundibugyo and Reston. The Zaire Ebola virus is the deadliest, with a mortality rate of 90 percent. It is the strain currently spreading through Guinea, Sierra Leone and Liberia, and beyond. Scientists say flying foxes probably brought the Zaire Ebola virus into cities.
4) Influenza
During a typical flu season, up to 500,000 people worldwide will die from the illness, according to WHO. But occasionally, when a new flu strain emerges, a pandemic results with a faster spread of disease and, often, higher mortality rates.
The most deadly flu pandemic, sometimes called the Spanish flu, began in 1918 and sickened up to 40% of the world's population, killing an estimated 50 million people.
"I think that it is possible that something like the 1918 flu outbreak could occur again," Muhlberger said. "If a new influenza strain found its way in the human population, and could be transmitted easily between humans, and caused severe illness, we would have a big problem."
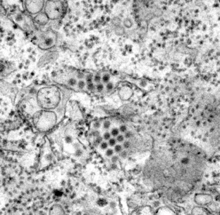
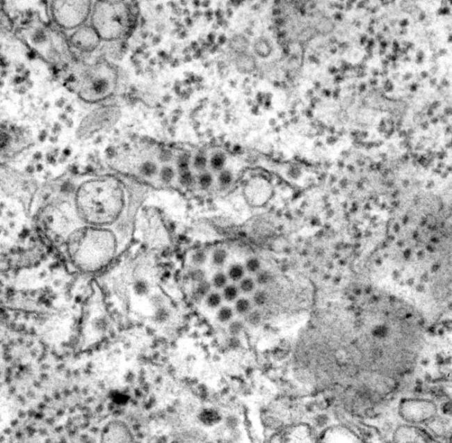
5) Dengue
Dengue virus first appeared in the 1950s in the Philippines and Thailand, and has since spread throughout the tropical and subtropical regions of the globe. Up to 40% of the world's population now lives in areas where dengue is endemic, and the disease — with the mosquitoes that carry it — is likely to spread farther as the world warms.
Dengue sickens 50 to 100 million people a year, according to WHO. Although the mortality rate for dengue fever is lower than some other viruses, at 2.5%, the virus can cause an Ebola-like disease called dengue hemorrhagic fever, and that condition has a mortality rate of 20% if left untreated. "We really need to think more about dengue virus because it is a real threat to us," Muhlberger said.
A vaccine for Dengue was approved in 2019 by the U.S. Food and Drug Administration for use in children 9-16 years old living in an areas where dengue is common and with a confirmed history of virus infection, according to the CDC. In some countries, an approved vaccine is available for those 9-45 years old, but again, recipients must have contracted a confirmed case of dengue in the past. Those who have not caught the virus before could be put at risk of developing severe dengue if given the vaccine.








Comments
Post a Comment